No.6 歯はなくて噛めない 歯が次々に壊れるのを止めたい(難症例)

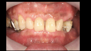
60代の男性の患者様ですが噛めないので歯を入れたいとのことで来院されました
一見すると歯がたくさんあるのでうまく噛めそうですがお口を審査していくと
噛み合っている歯がほとんどなく今まで保険治療で入れ歯や差し歯をしてきたが
歯が壊れるのが止まらないとのことでした


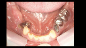
お口の中を見せていただくと左上の奥歯と右下の奥歯が失われています
そして前歯がうまく噛み合っていないので実質噛める歯がほとんどなく
奥歯が壊れるに従って噛み合わせの高さも失われて下の前歯が上の顎に刺さってしまうような状態です

そこでまずは本来の噛み合わせの高さに戻すためにマウスピースを製作しまず上の歯を揃える計画を立てます

そして奥歯にインプラント治療をしていきますが右下の部分は顎の骨の中の神経付近まで
歯周病によって顎の骨が溶けてしまっているためインプラントができません
また、骨を作る手術も神経が近いため麻痺の可能性を考えるとそれもできません

そこで右下は手前の歯をインプラントで引っ張って周囲の骨ごと引っ張ってその手前に
インプラントを植える治療方法としました

矯正治療後インプラントに被せ物をし、上の顎は予算を相談し部分義歯を装着しました
こういった多数歯が失われている場合、まずは下の顎を入れ歯を避けることを優先した方が
将来的によく噛めるようにできます
というのも上の総入れ歯は面積が広いためしっかり噛めるのですが下の総入れ歯は粘膜と接する
歯茎の面積が狭いため(真ん中に舌があるため)全部インプラントにしていくのが理想ですが
予算を集中させるのであれば下顎の治療をしっかりしておけば
将来 最悪、上の歯が全滅してもしっかり義歯で食事ができるようになります
逆に上の歯を残して下の歯を全部失って総入れ歯になってしまうと噛むことは
かなり困難になります

治療前と治療後の状態です ご本人の希望で保険治療でできると所はなるべく保険治療で
治療をし、どうしてもここはしっかり治しておいた方がいいところに治療費用をかけることによって
末長くしっかり噛める状態を作ることができました
⚪️治療期間
約3年
⚪️リスク・副作用
矯正した歯はまた動いてしまう可能性があるため保定装置(マウスピース)を使用していくことによって歯並びがかわらないようにする必要があります。また今回保存した歯周病だった歯やインプラントは患者さんのメインテナンス状況や健康状態によって再度歯周病が進行する可能性があります
⚪️治療費用
約¥2.500.000. (自由診療)(歯列矯正、インプラント、セラミックの被せ物など)
治療費は治療契約当時のものです。 それぞれの治療内容と希望により異なります。
「自費診療の症例をご覧になって、『自分もこうした治療を受けてみたいけれど、費用がわからず不安…』と感じられる方もいらっしゃるかもしれません。
当院では、まず保険診療の範囲で必要な初期治療を行ったうえで、自由診療をご希望の方には、詳細な検査(自費)を実施し、治療方法・期間・費用を明確に記載したお見積もりを作成いたします。
ご納得いただいたうえで治療を開始いたしますので、どうぞご安心ください。
ご相談をご希望の方は、インターネットまたはお電話にてご予約を承っております。お気軽にご連絡ください。









